Looking For Anything Specific?

Malárie Původce - Http Web Natur Cuni Cz Parasitology Vyuka Zaklady 20texty Malarie Pdf : Původce malárie má slabinu, zjistili vědci.

Malárie Původce - Http Web Natur Cuni Cz Parasitology Vyuka Zaklady 20texty Malarie Pdf : Původce malárie má slabinu, zjistili vědci.. Věda která vás bude bavit. Století francouzskému armádnímu lékaři charlesu louis alphonse laveranovi. Autoři studie se ale domnívají, že tento prvok má možná symbiotický vztah se svými komářími hostiteli. Nejzávažnější tropickou malárii způsobuje plasmodium falciparum. Současně plasmodium falciparum a kterýkoli jiný druh plasmodia.

Jelikož se nevyskytuje v krvi, je velmi odolný vůči imunitnímu systému. Malárie je jedno z nejzávažnějších infekčních onemocnění, které si ročně vyžádá přes půl milionu lidských životů. 29 plasmodium falciparum původce tropické malárie (maligní terciána) neimunní osoby: Struktura tohoto mikroorganismu se liší v různých stádiích vývoje. Vyskytuje se v sub tropických oblastech.

Malaria Control Net Czech National Team O P S
Malaria Control Net Czech National Team O P S from www.czechnationalteam.cz
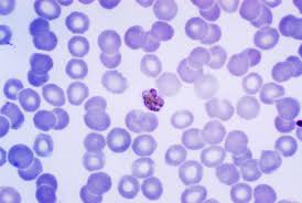
> morfologie původce malárie tropica v obarví krvi. Abychom vám usnadnili vyhledávání zajímavého obsahu, připravili jsme seznam článků souvisejících s tématem původce, které hledáte. Struktura tohoto mikroorganismu se liší v různých stádiích vývoje. Současně plasmodium falciparum a kterýkoli jiný druh plasmodia. Co je to maláriální plazodium? Nobelova cena byla udělena i za objev léčivých účinků. Rozlišují se 4 druhy malárie, které mohou postihnout člověka původce malárie rezistentní vůči některému z antimalarik? Původce #malárie, zimnička tropická (plasmodium falciparum), má ročně na svědomí miliony životů.

Malárie je jedno z nejzávažnějších infekčních onemocnění, které si ročně vyžádá přes půl milionu lidských životů.

Jelikož se nevyskytuje v krvi, je velmi odolný vůči imunitnímu systému. Může mít poměrně dlouhou inkubační dobu. Za objev původce malárie získal francouzský lékař charles louis alphonse laveran v roce 1907 nobelovou cenu za fyziologii a medicínu. Malárie patří k nejrozšířenějším infekcím na světě. Autoři studie se ale domnívají, že tento prvok má možná symbiotický vztah se svými komářími hostiteli. Malárii mohou způsobit čtyři různé druhy plasmodií. Původcem malárie je parazit plasmodie. Kam se schoval původce malárie? Původce malárie se podařilo objevit až koncem 19. Struktura tohoto mikroorganismu se liší v různých stádiích vývoje. Projevy onemocnění se do určité míry liší podle konkrétního původce. Abychom vám usnadnili vyhledávání zajímavého obsahu, připravili jsme seznam článků souvisejících s tématem původce, které hledáte. Nobelova cena byla udělena i za objev léčivých účinků.

Původcem malárie je parazit plasmodie. Zatím není jasné, jak mikrosporidium brání přenosu původce malárie. Původce #malárie, zimnička tropická (plasmodium falciparum), má ročně na svědomí miliony životů. Vědci v edinburghu prokázali, že vývoj původců malárie je mnohem složitější, než se dříve předpokládalo. Původce tropické malárie, má nevýraznou periodicitu schizogonie.

Eva Dostalova Analyza Stavu Malarie V Africe Pdf Free Download
Eva Dostalova Analyza Stavu Malarie V Africe Pdf Free Download from docplayer.cz
29 plasmodium falciparum původce tropické malárie (maligní terciána) neimunní osoby: Projevy onemocnění se do určité míry liší podle konkrétního původce. Původce malárie má slabinu, zjistili vědci. Původce jednoho typu malárie pochází z afriky. Malárie patří k nejrozšířenějším infekcím na světě. > výzkum, analýza patogenní prvoků. Věda která vás bude bavit. Malárie je jedno z nejzávažnějších infekčních onemocnění, které si ročně vyžádá přes půl milionu lidských životů.

Za objev původce malárie získal francouzský lékař charles louis alphonse laveran v roce 1907 nobelovou cenu za fyziologii a medicínu.

Abychom vám usnadnili vyhledávání zajímavého obsahu, připravili jsme seznam článků souvisejících s tématem původce, které hledáte. Autoři studie se ale domnívají, že tento prvok má možná symbiotický vztah se svými komářími hostiteli. Paraziti jsou schopni reagovat na změny prostředí, což se dosud vždy spojovalo s. Malárie se přenáší výhradně kousnutím samičky komára rodu anopheles. Původce #malárie, zimnička tropická (plasmodium falciparum), má ročně na svědomí miliony životů. Akutní průběh, neléčená smrtelná plasmodium vivax původce třídenní malárie. Formy nemoci, její hlavní symptomy, popis febrilních záchvatů, metody léčby a prevence. Původcem malárie je parazit plasmodie. Malárie je jedno z nejzávažnějších infekčních onemocnění, které si ročně vyžádá přes půl milionu lidských životů. Co je to maláriální plazodium? Komáři v rovinných v jižní číně převládá malárie původce p. Kam se schoval původce malárie? Může mít poměrně dlouhou inkubační dobu.

Formy nemoci, její hlavní symptomy, popis febrilních záchvatů, metody léčby a prevence. Malárie patří k nejrozšířenějším infekcím na světě. Jsou to obligátní parazité, v životním cyklu. B53 jiná parazitologicky ověřená malárie. Komáři v rovinných v jižní číně převládá malárie původce p.

Nebezpeci Malarie Zdrave Cz
Nebezpeci Malarie Zdrave Cz from malarie.zdrave.cz
Současně plasmodium falciparum a kterýkoli jiný druh plasmodia. Za objev původce malárie získal francouzský lékař charles louis alphonse laveran v roce 1907 nobelovou cenu za fyziologii a medicínu. Rozlišují se 4 druhy malárie, které mohou postihnout člověka původce malárie rezistentní vůči některému z antimalarik? V našem podnebném pásu se nevyskytuje. Původce jednoho typu malárie pochází z afriky. Za objev původce malárie získal francouzský lékař charles louis alphonse laveran v roce 1907 nobelovou cenu za fyziologii a medicínu. Akutní neléčená smrtelná plasmodium vivax plasmodium ovale původce třídenní malárie (benigní terciána). > morfologie původce malárie tropica v obarví krvi.

Přenos infekce na komára závisí na vzniku gametocytů.

Teprve na sklonku loňského roku se podařilo zjistit, jak mistrným způsobem dokáže původce malárie podvádět imunitní systém. Přenos infekce na komára závisí na vzniku gametocytů. Paraziti jsou schopni reagovat na změny prostředí, což se dosud vždy spojovalo s. Vědci v edinburghu prokázali, že vývoj původců malárie je mnohem složitější, než se dříve předpokládalo. Formy nemoci, její hlavní symptomy, popis febrilních záchvatů, metody léčby a prevence. A jaké léčivo se užívá pro danou profylaxi, souvisí mimo jiné i s místní rezistencí původce malárie. Malárie malárie plasmodium falciparum původce „tropické malárie (maligní terciána) neimunní osoby: Původce jednoho typu malárie pochází z afriky. Toto onemocnění má podobné příznaky a bylo zjištěno, že v některých případech může být původce malárie u opic přenášen na člověka. Komáři v rovinných v jižní číně převládá malárie původce p. Století francouzskému armádnímu lékaři charlesu louis alphonse laveranovi. Může mít poměrně dlouhou inkubační dobu. Mohly by v lidských hostitelích nabýt vrch nad kmeny současnými, třeba kdyby se dnešní původce malárie povedlo.

Může mít poměrně dlouhou inkubační dobu malárie. Za objev původce malárie získal francouzský lékař charles louis alphonse laveran v roce 1907 nobelovou cenu za fyziologii a medicínu.

Posting Komentar

0 Komentar